Чим небезпечний трихінельоз, що треба знати.
Трихінельоз – досить поширене паразитарне захворювання. Особливе значення це захворювання має в зв`язку з тим, що може передаватися людині, викликаючи у людей важкі наслідки, аж до летальних випадків. Саме трихінельоз свиней послужив причиною заборони на вживання в їжу свинини у мусульман і в країнах Близького Сходу. Трихінельоз відноситься до розряду природновогнищевих інфекцій, захворювання поширене по всіх широтах.
В основному, трихінельоз вражає м`ясоїдних тварин – кабанів, ведмедів, лисиць, шакалів, хутрових звірів. Але трапляються випадки, коли паразити виявляються і в м`ясі лосів, бобрів, коней, які є травоїдними. Трихінельоз так само може вражати і птахів, що харчуються падаллю, морських тварин (тюленів, морських котиків) і ракоподібних, які поїдають інфікованих тварин, що потонули.

Збудник Trichinella spiralis
Як поширюється захворювання? Збудником захворювання є трихінели (Trichinella spiralis). Трихінела вважається одним з найменших живонароджених паразитів (статевозрілі самки мають довжину 3-4 мм, самці 1,2-1,6 мм), що вражають звірів. Дорослі особини паразитів живуть в кишечнику, а їх личинки – в м`язах звірів. За характером локалізації трихінели класифікується як: кишкова, м`язова.
Як розвиваються трихінели? Якщо раніше вважалося, що в кишечник звірів трихінели потрапляють в двох видах: у вигляді живих личинок або у вигляді вапняних капсул, з “начинкою” у вигляді інвазійних личинок трихінел, то тепер вчені виявили і зареєстрували новий вид трихінел – безкапсульних, носієм якого може бути навіть такий відомий вегетаріанець, як бобер.

Живі личинки в організм нового господаря проникають, коли той поїдає кишечник убитої інфікованої тварини, де ці личинки знаходяться, або ж з фекаліями інфікованих тварин, що буває нечасто. Інвазійні личинки трихінел, укладені в вапняні капсули, знаходяться в м`язових тканинах тварин.

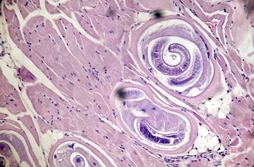
Личинка трихінели інкапсульована в м’язовому волокні
При попаданні такого м`яса в організм, вапняні капсули розчиняються під дією кишкових ферментів, і личинки трихінел через 2-7 днів після потрапляння в кишечник м’ясоїдних здатні давати потомство. Чоловічі особини – трихінели запліднюють самок, які через 6-7 діб народжують від 1000 до 1200-20000 тисяч живих личинок. Виконавши свою біологічну роль, дорослі особини гинуть і через деякий час виводяться з фекаліями. Живі личинки трихінел, підхоплені потоком лімфи, проникають в м`язи. Їх “улюблені” місця локалізації: м`язи язика, стравоходу, черевні, шийні, міжреберні. Через 15-20 днів личинки скручуються у форму спіральок і досягають інвазійних стадії. Через 1 – 1,5 місяця спіралька личинки починає капсульоватись, а в подальшому утворюється вапняний панцир. У такому стані в м`язах тварин личинки трихінел зберігають свою здатність роками, аж до смерті тварини.
Трихінельоз у травоїдних. Горегляд Х.С. писав: “Хоча річковий бобер харчується в основному деревиною, корою і рослинною їжею і не є м`ясоїдною твариною, бобер досить чутливий до трихінельозу. Але він (бобер) може бути інфікований трихінельозом при поїданні коріння рослин разом з грунтом, що містять капсульованих личинок трихінел. Або ж бобер може бути підданий інвазії через воду, в якій м`ясо, містять личинки трихінел. Однак у великої рогатої худоби, у овець, коней, оленів, лосів, зубрів є природний імунітет до трихінельозу “. Але в кінці 1975 – початку 1976 років в Італії і Франції спалахнула епідемія трихінельозу через вживання в їжу інфікованого м`яса коней. Епідеміологічні дослідження не тільки переконливо довели, що м`ясо коней містять личинки трихінел, а й виявили новий вид паразита – бескапсульну личинку трихінели.
Останнім часом стало дуже популярним м`ясо бобрів, можна навіть сказати “модним”. В першу чергу це пов`язано з тим, бобер вважається екологічно чистою твариною, не схильним до трихінельозу. Однак, в ході останніх досліджень вже доведено, що бобер може і хворіти і бути носієм личинок цього грізного захворювання.
Трихінельоз в домашньому господарстві. Хворіють на трихінельоз практично всі ссавці, включаючи кішок, собак, домашніх свиней. Механізм передачі захворювання у домашніх тварин такий же, як і в дикій природі. У домашніх свиней, як і у диких кабанів, ця хвороба діагностується найчастіше.

Але в першу чергу це пов`язано з тим, що їх м`ясо найчастіше вживається в їжу, отже, і найчастіше проходить ветеринарний контроль, що дозволяє виявити паразитів. Кішки і собаки теж можуть хворіти трихінельозом. Однак треба пам`ятати, що людина не може заразитися від них, оскільки хвороба передається тільки поїданням інфікованого м`яса. Кішки можуть заразитися при полюванні на дрібних гризунів, птахів, якщо ті були носіями трихінел. Домашніх улюбленців ми можемо заразити самі, пригостивши їх сирим м`ясом або рибою. Собаки найчастіше заражаються на полюванні, особливо якщо після вдалого полювання “на кабана”, господар гостинно пригощає свого улюбленця мисливськими трофеями.
Особливу увагу слід приділяти тваринам при розведенні хутрових звірів. Неприпустимо годувати їх сирим м`ясом, що не пройшли спеціальної обробки. Винятком може бути свиняча обріз з м`ясокомбінатів, оскільки вся сировина в обов`язковому порядку проходить перевірку на трихінельоз.
Симптоми трихінельозу у чотириногих вихованців. Трихінельоз у звірів протікає в 2 формах:
Гостра. Ця форма у тварин зустрічається дуже рідко і можлива тільки в разі масивної інвазії. Для неї характерні різке підвищення температури тіла, блювота, пронос, відмова від їжі, порушення координації руху. Надалі розвивається набряк. Від важкої інтоксикації організму продуктами життєдіяльності трихінел тварина, як правило, гине;
Хронічна. Ця форма зустрічається найчастіше. Тварина в інкубаційний період розвитку захворювання стає пасивним, пропадає апетит, іноді може бути пронос. Спостерігається різка втрата ваги, тварина погойдується при ходьбі. Тривалість захворювання залежить від того, наскільки інтенсивно йде капсулирование личинок в м`язових тканинах. Після цього клінічні симптоми захворювання зникають, але тварина залишається носієм трихінел.
Свині, що перехворіли на трихінельоз, значно відстають у наборі ваги, мають нетоварний вигляд.
Визначити трихінельоз у диких звірів за зовнішнім виглядом неможливо.
Чим небезпечний трихінельоз для людей. Люди найчастіше хворіють на трихінельоз через свою безпечність. Зараження людини трихінельозом можливо тільки при вживанні в їжу свинини, м`яса дикого кабана, м`яса коней, зараженого личинками трихінел і не яке пройшло термічну обробку. “Слід пам`ятати, що соління, копчення, в`ялення, маринування м`яса не знищують личинки гельмінтів, а при виморожування вони гинуть тільки через 29-35 годин при мінус 50-70 ° С”. Перші ознаки зараження людини на трихінельоз проявляються, як правило, на 4-6 день від зараження. Хвороба може розвиватися в стертій (легкої) формі і у важкій формі. Форма перебігу трихінельозу у людей залежить від кількості проковтнули личинок і від стану його імунної системи.
Для стертої форми захворювання характерні: невисокий підйом температури до 37,2-38 ° С, слабко виражені м`язові болі. Можлива невелика набряклість, частіше набряклість вік. Через 2-3 тижні температура раптово піднімається до 40 ° С, виникають сильні м`язові болі, сильний набряк обличчя, біль голови, висип.

Періорбітальний набряк вважається класичним ознакою парентерального (коли личинки розносяться по організму) трихінельозу. Але може і не спостерігатися.
Важка форма захворювання починається з болю в животі, блювота, пронос. Потім виникає сильний біль в потилиці, наростають м`язові болі, температура піднімається до 41 ° С .По тілу розходиться висип, яка запалюється і починає нагноюватися. При трихінельозі страждають всі органи і системи людини: серце, легені, печінка, головний мозок. При несвоєчасно розпочатому лікуванні можливий летальний результат.
Діагностується трихінельоз по характерному перебігу захворювання, епідеміологічному анамнезу та імуноферментного аналізу сироватки крові на виявлення антитіл до трихінел. Любителям шашликів, баликів, корейки, солонини і строганини, сирокопчених ковбас і сосисок слід пам`ятати, що “не все на пожиток, що в рот полізло”. “На око” не можна визначити, чи містить м`ясо личинки трихінел.

Мисливські байки, що все м`ясо можна знезаразити вживанням всередину сорокоградусной, не повинні сприйматися як керівництво до дії. Тільки чіткий контроль при виборі м`яса, дотримання правил обробки м`яса і приготування зроблять м`ясні делікатеси не тільки смачними, а й безпечними.
Особиста профілактика трихінельозу полягає в тому, щоб вживати в їжу тільки обстежене на трихінельоз м’ясо свиней і диких тварин. Не можна купувати м’ясо цих тварин або м’ясопродукти на стихійних ринках при відсутності довідки ветсанекспертизи. При підозрі для повної гарантії м’ясо повинно піддаватися тривалій термічній обробці (не менше 2,5 години) при товщині шматка м’яса не більше 8 см.
